България 23.04.2026 18:39 Снимка: ДНЕС+
Първи случай на ку-треска в Пловдив
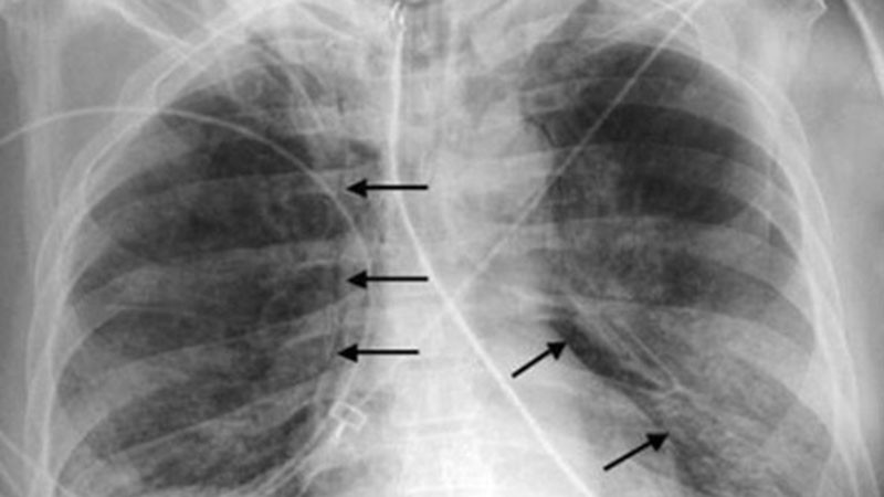
Установен е първи случай на ку-треска в Пловдив тази година. Засегнат е 67-годишен мъж, хоспитализиран с двойна бронхопневмония на 6 април, пише "Фокус". Близо седмица по-късно мъжът е изписан.
Според д-р Милена Панайотова, директор на дирекция "Надзор на заразните болести" към РЗИ-Пловдив случаят не е нещо екзотично и не е болест, която е внесена някъде отвън, като през годинете е имало и други подобни.
Инфекцията е резултат от вдишване на споровиден дребноклетъчен вариант и от контакт с млякото, урината, изпражненията и секрети на заразени животни. Рядко заболяването се пренася от кърлежи. Инкубационният период е 9-40 дни. Хората са уязвими на заболяването и инфекцията може да бъде резултат от дори няколко организма.
Още по темата
CHF
|
1 | 2.10463 |
GBP
|
1 | 2.24498 |
RON
|
10 | 3.83729 |
TRY
|
100 | 3.87564 |
USD
|
1 | 1.66355 |
Последни новини
- 19:35 Руби Роуз разкрива детайли за нощта, в която твърди, че Кейти Пери я е насилила
- 19:28 Министърът на отбраната на Латвия: "Стената от дронове" не е магически щит срещу Русия
- 19:22 Калас предложи: ЕС да не пуска руснаци, воювали на фронта
- 19:14 Звезда от известна телевизионна поредица беше открит мъртъв в дома си
- 19:08 ЦИК обяви официално резултатите от изборите
- 19:08 ФБР разследва още една мистериозна смърт на учен от НАСА, изгорял в колата си
- 19:01 Първите пътници пристигнаха на новия терминал 3 на Франкфуртското летище (ВИДЕО)
- 18:53 Китайският премиер: Да се ускори изграждането на мащабни вятърни и слънчеви паркове